Mayo Clinic researchers contribute unique CT data to public repository


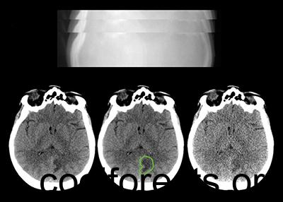
Low Dose CT Imaging and Projection Data. Sample x-ray projection images through a patient’s head (top) are used to reconstruct CT images of the patient’s brain (bottom). Bottom left, a diagnostic quality image is reconstructed using projection data acquired at routine clinical dose levels. Bottom center, the patient’s brain lesion is outlined and corresponding clinical diagnosis data are provided. Bottom right, using a validated noise insertion technique, simulated low-dose projection data are created, which are used to reconstruct intentionally poor-quality CT images. These data will provide a challenge to investigators to develop techniques that create diagnostic quality images from low dose scans, without altering the appearance of pathological lesions. Mayo Clinic photo.

Medical physicists at the Mayo Clinic have just made a unique library of computed tomography (CT) data publicly available so that imaging researchers can study, develop, validate, and optimize algorithms and enhance imaging hardware to produce peak-quality CT images using low radiation doses. In addition to reconstructed images from 300 patient exams, the library includes, for the first time ever, the x-ray projection data used to create cross-sectional images. These data are critical for the development of advanced image reconstruction techniques, including those using artificial intelligence.

CT technology helps clinicians see the detailed images of the internal anatomy, including the effects of injury, tumors, and other visual symptoms of disease. Because CT employs repeated, narrow X-ray beams to acquire cross-sectional images that are computationally assembled to generate 3D results, radiation doses accumulate during a scan. Medical experts agree it would be better to achieve the needed image detail with reduced doses of radiation. The biomedical imaging research community has set ambitious goals to engineer computer hardware and algorithms that can achieve high-quality image results from low-dose images. [Read more about the NIBIB initiative to reduce radiation in CT scans here.]

Projects funded by the National Institute of Biomedical Imaging and Bioengineering (NIBIB) enabled the creation of the Mayo Clinic’s new data resource. Dr. Cynthia McCollough, the Brooks-Hollern Professor of Research at Mayo Clinic and a professor of Medical Physics and Biomedical Engineering, served as the principal investigator for the projects. She and a team of medical physicists, radiologists, and image scientists collaborated with leading CT scanner manufacturers to make these data available.

“Access to CT projection data from patient exams has been consistently identified as a critical unmet need for the development, validation and optimization of algorithms that can use low-dose scans to create high-quality diagnostic CT images,” said Behrouz Shabestari, Ph.D., director of the NIBIB National Technology Centers Program. “When it started, this project was focused on providing data for iterative reconstruction algorithm development, but its value has clearly surpassed that, and is filling a very big need in our field.”

“To date, only a small number of researchers have access to projection data from patient exams,” McCollough said, explaining that projection data files contain substantial manufacturer-specific proprietary information. “Manufacturers generally only provide the tools needed to decode the complex files to a small number of research collaborators with whom they have research agreements. This prevents experts in other disciplines from working on topics related to CT dose reduction.”

McCollough reports that a small sample—just 10 patient cases—of the complete data set was shared preliminarily with nearly 500 research teams across 44 different countries. “Our motivation was to make these data widely available, and the response has been astounding,” she said. “I receive one to two requests per day for access to our sample collection of just 10 abdominal CT cases.”

The Mayo team first developed a data format for sharing projection data in a vendor-neutral fashion by expanding on the well-established Digital Imaging and Communications in Medicine (DICOM) standard. After carefully collecting and curating hundreds of patient CT exams, they worked with leading CT scanner manufacturers to translate the patient projection data from vendor-specific proprietary formats into their DICOM-CT-PD format.“

We wanted to include exams of the head, chest, and abdomen performed for the most common clinical indications where we were able to confidently provide a reference diagnosis, for example from surgical confirmation or multi-year follow up,” said Joel Fletcher, M.D., professor of Radiology at the Mayo Clinic. He led the effort to apply strict criteria for identification of the patient cases chosen for the registry. In addition to the reconstructed images and projection data, the library contains a summary of clinical findings that includes the reference diagnosis as well as location and pictures of the identified pathology.

The Mayo CT data library is housed at The Cancer Imaging Archive (TCIA), hosted by the University of Arkansas for Medical Sciences. TCIA is a service that de-identifies and retains an archive of more than 100 collections of medical images relevant to cancer research. The archive provides high-quality, high-value image collections to researchers around the world.

The newly available collection from the Mayo Clinic team, called Low Dose CT Imaging and Projection Data, includes 100 non-contrast-enhanced head CT exams, 100 non-contrast-enhanced chest CT exams, and 100 contrast-enhanced abdominal CT exams, half of each coming from a CT scanner manufactured by Siemens Healthcare and the other half from a scanner manufactured by GE Healthcare.

“Another unique feature of this library is that we include simulated low-dose data for each patient case,” McCollough said. “Researchers can then use the low-dose data to evaluate the success of their approach in matching or exceeding the quality of the full dose data.”

Researchers who would like to access this Low Dose CT Image and Projection Data can go here.

The work leading to the development of this data resource was supported in part by the National Institutes of Health under grants (EB17095, EB017185).

Prosta Defend Sleep Lean Nano Defense Pro Joint Genesis AlphaFuel Pro RetiClear Alpha Surge Joint Genesis ProvaSlim Sparta Max Citrus Burn Vitta Burn Ignitra Blood Armor Mitolyn ManForceX TrimX Titan Transform Sciaticyl Flow Force Max GlucoSwitch Vigortrix GlycoFortin Total Control 24 VigorLong Belly Flush TrImology Neuro Serge NeuroWave DentaVive Dubai Wealth Secret MetaRise Citrus Burn Nervion Munjaboost Regenvia Zensulien SlimLeaf Vitrafoxin Neuro E Prime VisiFlora TerboTest Potent Stream Gluco Extend NewEra Protect Male Power XL The Brain Song X The Brain Song Sugar Mutes ProstaDyne Gelatin Weight Loss Gelatin Recipe MyoForce Prodentim Prime Biome Pulmo Balance Quick Burn BHB Glycopezil ViriFlow Dental Bright Gut Vitali IpoeVive Testo Erect Nutra Glow Vivalis Memo genesis Vitall Boost XL Brain Honey Vapofil Memoryon Thrive XXL Vigoryn Vivalis Score XXL Yu Sleep The Genius Song Eva Bloom The Brain Song YuSleep Energy Revolution System Income Team X Smart Water Box His Secret Obsession Lotto Champ ProtoFlow NerveCalm Eva Bloom Nerve Fresh GL Control Nail Refresh Brain Memory Keepper Denta Biome Purisaki Berberine Patches Breatheasex